Non-Invasive Skin Imaging Group of the Americas (NISIA) Founded in 2018 by Dr. Babar Rao and Dr. Manu Jain, NISIA brings together dermatologists, scientists, and researchers dedicated to advancing the field of non-invasive skin imaging. The group serves as a collaborative platform to foster innovation, research, and education in cutting-edge imaging technologies for dermatologic care.
We aim to make a positive impact worldwide through sustainable practices and innovative solutions.
We are dedicated to developing cutting-edge solutions that address real-world challenges.
Building trust with our clients and partners through transparency and ethical practices.
Founder & Past President
Click to view more
President
Click to view more
Founder & Past President
Click to view more
President
Click to view more
Vice President
Click to view more
Secretary
Click to view more
Treasurer
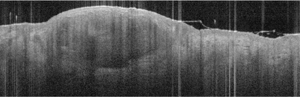
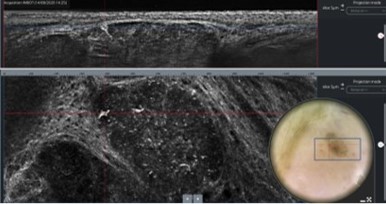
Click to view moreLeading imaging technologies advancing non-invasive dermatological diagnostics
Insights, research, and stories from NISIA members
Loading blog posts...